外科矯正(手術・入院は提携病院に依頼)

外科矯正治療とは


通常の矯正だけでは充分な治療結果が期待できない場合には、顎の骨を外科的に手術で切って動かす「外科矯正」が行われることがあります。
全身麻酔による本格的な手術が必要になりますが、大きな治療効果が期待でき、矯正治療の中では唯一健康保険の適応となります。

上顎前突症、上顎後退症、下顎前突症、下顎後退症、開咬症、顎骨非対称症例などの顎変形症において、機能的ならびに審美的障害に対する治療法として外科的矯正治療が行われます。

外科手術は、提携病院の口腔外科にて、全身麻酔下で手術が行われます。
口の中に切開を加えて、骨切りを行います。

原則、口の中からの手術になる為、顔などに手術の痕が残ることは、まずありません。
入院期間は、約10日前後くらいです。

 メリット

健康保険が適用となり、治療費が抑えられる。
通常の矯正手術だけでは治療が出来ないような難しいケースの場合でも治療が可能。
口元や横顔など審美的な部分で、通常の矯正よりも大きな治療効果が期待できる。
治療期間が短縮できる場合がある。

 デメリット

手術は全身麻酔で行い、約10日前後の入院が必要となる。
入院前は臨床検査などのため、手術を行う病院への通院が必要になる。
手術直後には、顔が腫れ、一時的な麻痺など出る場合がある。
手術後、口があまり開かない為、多少、食生活や会話に不都合を感じる期間がある。
外科矯正治療は、大学医院や指定された専門的な歯科医院(※)でしか行われていない。

(※)指定された専門的な歯科医院とは

保険診療にて外科矯正治療をおこなうためには、自立支援指定医療機関(更生・育成医療機関)(1)顎機能診断施設(2)の指定を受ける必要があります。指定医療機関では、外科矯正治療が健康保険の適応となりますが、矯正専門医院でも、指定を受けていない場合、外科矯正治療をする場合は、すべて自費診療となりかなりの高額(約200万円以上)になります。

(1)自立支援医療(更生・育成)指定医療機関

自立支援医療(更生・育成医療)指定機関とは、更生育成医療の給付が受けられる医療機関です。
以下の条件が必要です。

  • 更生育成医療を行うために必要な設備および体制を有している
  • それぞれの医療の種類における専門科目について、適切な医療機関における研究従事年数が(矯正歯科では)5年以上である
  • 研究態様と口蓋裂の歯科矯正の臨床内容とに関連が認められる
  • 歯科矯正を標榜している
  • 関係学会(日本矯正歯科学会および日本口蓋裂学会)に加入している

(2)顎機能診断施設

顎口腔機能診断施設とは、顎口腔機能診断施設基準に適合している診療機関のことです。
外科的矯正治療を併用する顎変形症の術前術後矯正治療に保険が適用されます。

  • 身体障害者福祉法第19条の2第1項の規定により厚生大臣又は都道府県知事が指定した医療機関である。但し、更生医療として歯科矯正に関する医療を担当しているものに限る。
  • 当該療養を行うために必要な次に掲げる基準を双方とも満たしている。
    • 1.下顎運動検査又は舌接触運動検査のいずれか一方と咀嚼筋筋電図検査が行える機器を備えている。
    • 2.専任の常勤歯科医師及び専従する常勤看護婦又は歯科衛生士がそれぞれ1名以上勤務している。
  • 当該療養につき口腔に関する医療を担当する診療科または別の保険医療機関と歯科矯正に関する医療を担当する診療科(大学病院や総合病院など)との間の連携体制が整備されている。

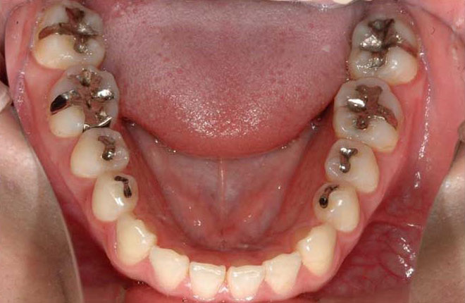
 外科矯正手術の症例1


治療名称 外科手術を伴う歯科矯正治療
治療費用 健康保険適応
治療期間 2年10か月
メインテナンス頻度 月1回
治療内容
患者の症状 骨格性下顎前突
偏位
治療方法 上顎小臼歯抜歯
歯科矯正治療
下顎骨分割手術
治療結果 下顎骨前突の改善
偏位の改善
治療を行う上での注意点
(リスク/副作用)
虫歯、歯肉退縮、下歯槽神経麻痺

Before

症例画像治療前

After

症例画像治療前

Before

症例画像治療前
症例画像治療前
症例画像治療前
症例画像治療前
症例画像治療前

After

症例画像治療後
症例画像治療後
症例画像治療後
症例画像治療後
症例画像治療後

 外科矯正手術の症例2


治療名称 外科手術を伴う歯科矯正治療
治療費用 健康保険適応
治療期間 2年6か月
メインテナンス頻度 月1回
治療内容
患者の症状 骨格性下顎前突
治療方法 上顎小臼歯抜歯
歯科矯正治療
下顎骨分割手術
治療結果 下顎骨前突の改善
治療を行う上での注意点
(リスク/副作用)
虫歯、歯肉退縮、下歯槽神経麻痺

Before

症例画像治療前

After

症例画像治療前

Before

症例画像治療前
症例画像治療前
症例画像治療前
症例画像治療前
症例画像治療前

After

症例画像治療後
症例画像治療後
症例画像治療後
症例画像治療後
症例画像治療後

外科矯正の治療期間


外科矯正治療の手順は

「初診」⇒「診査診断」⇒「治療内容説明」⇒「術前矯正」⇒「手術」⇒「術後矯正」⇒「保定」の順で行います。

外科矯正の費用


外科的矯正治療費は、「全体でいくらかかります」とはっきりは言えません。
矯正期間や装置によっても異なりますし、保険が適用される医療機関で矯正治療を受ける場合とそうでない場合でも異なります。
また、入院期間・通院回数や手術の内容によっても異なってきます。

目安として、保険が適用される医療機関で矯正治療を受けた場合は、矯正費用と外科手術・入院費用を合わせて約50万前後の支払いです。保険が適用されない医療機関で矯正治療を受けた場合は、矯正費用と外科手術・入院費用を合わせて約200万前後の支払いと考えておくといいでしょう。

なお、外科手術・入院費用は健康保険の適応となり、高額療養費の対象となりますので申請をすれば一部返還されます。