2018/12/05
こんにちは!🦔
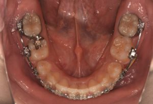
治療から約1年半が経過しました 。
前回の更新でお話したインプラント(アンカースクリュー)を使用して歯の隙間を閉じる工程 、
専門的に言うと space close の治療が重ねられ 、現在の歯並びはこのような状態になりました ↓

私は上顎は前から4番目の歯 、
う蝕(むし歯)で既に処置歯(治療済みの歯)があったことから
下顎は前から5番目の歯を抜歯して治療を行っています 。
こうして見てみると抜歯を行ったところが隙間を閉じていくことによって
うまっていっているのがわかりますね🤔
まだ少し隙間が残っているものの 、抜歯後の状態↓ と比べるとその差がわかりやすいと思います💡

この抜歯によって生まれた隙間を活用して歯を並べ 、
さらにインプラント(矯正用アンカースクリュー)やゴムを使用し前の歯を少しづつ後ろに持っていきます 。
そうすることで歯並びだけでなく口元の突出が少しづつ改善されていきました 。
なので 、叢生(ガタガタ)の程度や口元の突出改善を望まれる患者さんには
抜歯を行っての治療をお勧めすることが多いという訳なんです😌
私は口元の改善には個人差があるものとお聞きしていたこともあってそこまで気には留めていなかったのですが 、( 歯列が治るだけで十分嬉しく感じていました(笑))
友達が撮ってくれた横顔の写真の写りを見て自分でもその変化に気付き 、とても驚きました😳
口元の突出は矯正を希望される方 、特に女性に多い主訴でもあります💡
抜歯をしたり 、インプラント治療を行うことはなかなか勇気が出ない・・・!
という方ももちろんおられると思いますが 、どんなメリットがあるのか 、なぜ必要なのか
( こちらは前回の記事をご覧ください☺) をお話しさせていただくとむしろ患者さんの方からご希望される方もおられるほど!
もちろん 、下げれば良いという訳ではなくその人の顎の健康や噛み合わせを考慮したうえで
自然に美しく見える口元を目指して治療が進めてられていきますのでご安心を・・・😌
それではまた 、次の治療後に⛄❄🌼
|
2018.06.16 治療スタートから1年経過! |
|
2017.10.18 5ヶ月経過! |
|
2017.09.01 調整 |